【移动DR临床应用】
1、重症监护室。重症监护室的患者往往离不开生命特征监测仪器和其他生命辅助设备,床旁X光机PLX M5320可以做到机随人动,为医护和患者提供便利。
2、传染病病房。面对突发疫情,移动DR机以其高度的灵活性、环境适应性极大的满足了疫情防控中隔离病房对病人病情诊断的需要。
3、骨科。操作方便、工作效率高,可移动dr机-PLX M5320可满足人体的头部、四肢、胸腔、脊柱、腰椎、腹部等全身各部位的数字化摄影的工作需求。
4、病房。DR移动床机身小巧,移动灵活,可自如出入病房,为医护和患者提供便利。
	 
 
【性能特点】
1.肥胖患者、组织较厚部位清晰成像
管电流大小与设备输出X射线的能力相关,管电流越大,设备输出的射线量越充沛。大功率移动dr设备PLX M5320的最大管电流达到了500mA,输出的射线能够满足各体型患者的拍摄需求,即便是体重达上百公斤的患者,也能够获得清晰的图像。
2.1ms短时曝光 定格心肺运动瞬间影像
PLX M5320能够在最短1ms的曝光时间内输出足量的X射线,获取清晰图像。特别适用于拍摄肺炎、尘肺病、肺结核等难以憋气的患者,避免了因患者肺部呼吸运动而产生的运动伪影的影响,瞬间定格清晰图像,以供医生精确诊断。
3.支持高千伏摄影 肺部纹理更有层次
大功率移动dr机PLX M5320的最大可调千伏达到150kV,在达到一定的高电压后,与骨骼相重叠的软组织或骨骼本身的细小结构及含气的管腔等,均可清晰显示。
	 
 
4.采用新型储能技术
新型储能技术安全性更高,充放电过程无化学反应,使用时更稳定更安全,杜绝安全隐患的同时,也不会因贮存过久而损坏或无法开机,应急启用可靠性高。
设备仅需十几分钟即可充满电,可以做到快速出动,在第一时间驰援如隔离病房、方舱医院、野战医院等电源紧缺场所,挽救生命,分秒必争。
5.高品质数字化影像链
移动DR机PLX M5320采用大功率50kW球管可稳定输出高品质X射线,保证优质的图像品质,即便是腰椎侧位也能得到清晰的影像,图像质量媲美固定DR。
PLX M5320采用17×17英寸的大尺寸无线平板探测器,视野宽阔,摆位轻松。16比特灰阶度,稳定输出高分辨率、高解析度的图像。
	 
 
6.辐射剂量小 呵护医患健康
PLX M5320采用双曝光设计,可使用曝光??仄魇迪指羰也僮?,有效地做到对辐射的距离防护,临床应用方便自如,极大地?;ち艘交と嗽泵馐艿缋敕涞纳撕Α?
7.小巧灵动 摆位轻松
移动DR设备PLX M5320采用双轮双驱电动助力驱动系统,推行轻松,可实现零半径转弯,便于在狭小空间里移动。双电机与精巧的机械设计结合,女性操作者也能轻松单手推行。
横臂可电动升降,伸缩臂可实现0-500mm伸缩,焦点距立柱最大距离可达1250mm,临床摆位不仅轻松省力,也更加便捷高效。
	 
 
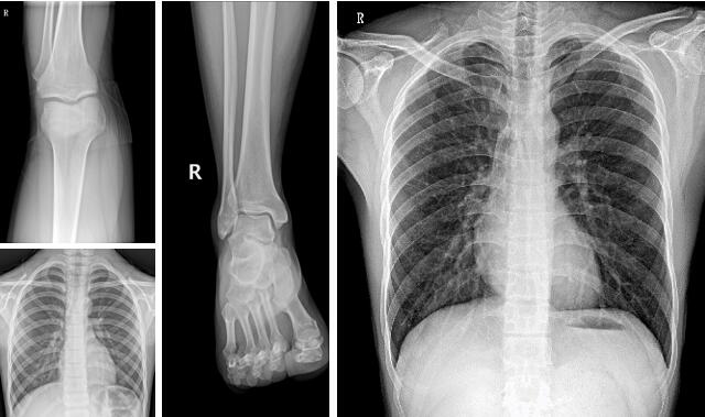
【PLX M5320移动DR临床图像】
	 
 
注册证编号:苏械注准20212060910
广告批准文号:苏械广审(文)第260525-18915号

 
                         
 






