多功能dr集合拍片、造影、胃肠、透视等多种功能。可以理解为一种不同角度观察器官运动的X光视频,可以从不同的角度、时间来观察器官的运动,诊断准确率会大大提升。面对常规dr误诊漏诊频繁出现的情况,多功能dr是如何用其产品优势弥补缺陷的?接下来小编带大家先来看一组动态临床案例。

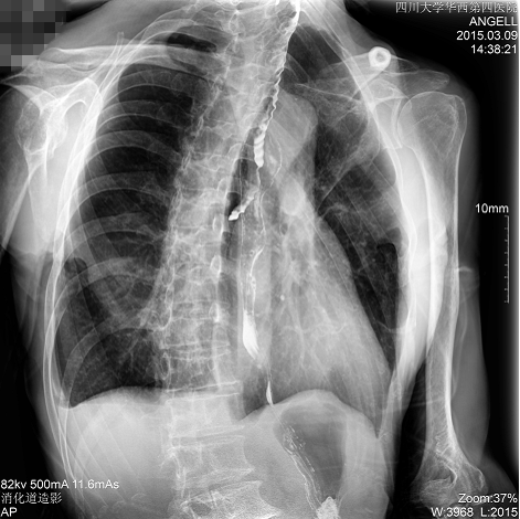
如下图所示:该患者因吞咽时感到很难受,进食时也经??人怨示鸵秸锒稀J褂枚喙δ躣r为病人进行消化道造影诊断,要求他吞钡后发现,食道各段通过顺利,形态规则,双侧梨状窝不对称左侧稍浅,多次吞咽动作后,仍见钡剂滞留,并见钡剂进入气管,属于会厌征阳性?;嵫峁δ芪陕?,钡剂进入了气管。
图为正位:通过动态影像可以清楚看到钡剂进入了支气管道且双侧梨状窝不对称
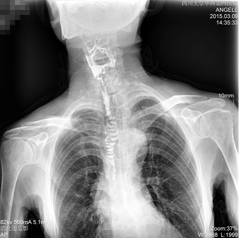
图为斜位:通过动态影像可以清楚看到钡剂进入了支气管道
检查意义及临床优势:
通过多功能dr可以诊断该病人的症状为会厌功能紊乱,钡剂进入到了气管。而在动态透视下可以清晰的观察到钡剂从何处进入气管,可清晰显示食管粘膜结构。使用多功能dr其独特的视频采集技术,可实时保存视频并能实现900万像素实时点片,才能获取这样清晰的病灶点。而常规dr只能拍摄静态片,且成像效果大打折扣,因此较难确诊病灶。
由此可见,多功能dr所采用的数字探测器,全帧技术可以得到尽量大的光电二极管,能够输出更稳定清晰的影像质量。数字高压技术具有高压快门,能够在毫秒级时间内,实现高压的切换。超级图像处理技术采用双通道算法以及并行图像处理技术。多功能dr的探测器为17×17 ,完全可以在同一个屏幕中获取整个检查部位的视野,便于观察。
其次采用多功能dr视频采集技术,经过一次顺利的检查后保存视频,可以实时回顾分析采集图像,也有利于疾病的随访、对比及会诊。此外,在骨科诊断过程中,由于隐匿性骨折范围小、程度轻,即使使用CT检查敏感性也不高,MRI检查费用过于昂贵,而用多功能dr透视下的多轴位点片,可以明确隐匿性骨折的诊断,是避免误诊隐匿性骨折的有效办法之一。
多功能dr对某些重叠病灶的诊断有着极高的临床意义,在常规dr所拍摄的静态片中很难区分重叠病灶是处在什么位置及哪个器官上,而通过动态观察可以清晰的判断和诊断,正是具有诸如此类的巨大优势也因此获得了越来越多高等级医院的认可。如果您想采购普爱医疗的多功能dr,欢迎联系我们。



