相信大家对CT都很熟悉,它是一种结合了X线成像与断层扫描技术的医疗影像设备,其主要功能是生成密度分辨率较高的人体断层图像,主要用于对钙化性病灶的检查。那你知道口腔CBCT是什么意思吗?口腔CBCT是一类特殊的CT,其工作原理是通过X线发生器以较低的射线量发射锥形X束,围绕投照体做环形数字式投照,将围绕投照体多次产生的二维投射影像通过图像重建算法获得三维图像。
在口腔影像等细分领域,口腔CBCT的成像质量优于CT和普放。CBCT的X线利用率更高,且生成的图像具备很高的各项同性空间分辨率??谇籆BCT能够针对局部断层曲面重建生成清晰无重叠的断层影像以及3D影像,成像效果更好,有助于医生的诊断,对于种植、综合诊断、正畸等牙科诊断均有较大帮助。口腔CBCT技术优势如下:
1.应用广泛:牙科种植、口腔颌面外科、正畸、牙体牙髓、牙周等。
2.具有高清晰度。
3.低辐射剂量。
4.视野可根据需要进行调整。
5.附带软件是为牙种植量身定做的,是辅助牙科种植极为出色的工具。

口腔CBCT设备大大提高了口腔科准确化医疗和临床水平。以南京普爱医疗口腔CBCT为例,其肩负着临床七大学科疾病的诊断需求:种植、正畸、牙体牙髓、牙周、颞下颌关节、颌面外科和其他,以扫描速度快、成像速度快、图像质量高、视野大、操作软件专业性强等优点,辅助各种临床诊断与治疗、术前检查及针对性治疗方案。普爱医疗口腔CBCT产品特点:
CMOS成像质量优
采用高端平板探测器,分辨率高、图像质量优。
低剂量脉冲模式
采集旋转过程中,X射线光源持续时间极短,呵护患者健康。

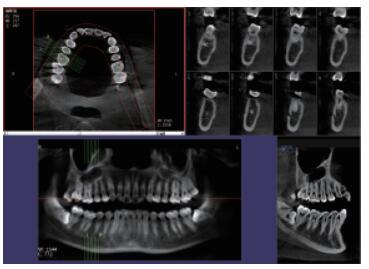
三维重建任意断层
专有三维重建算法,可提供任意位置高清断层影像。
高清口腔全景影像
通过三维容积影像,提取高清口腔全景影像。
专有图像处理软件
专有图像校正技术,去除金属伪影,提高图像分辨率。

多平面组合重建
可同时观察轴向面、冠状面和矢状面图像,方便临床诊断。
如果您想采购普爱医疗的口腔CBCT,欢迎联系我们,咨询电话400-025-6366。



