什么是动态DR?动态DR是一款多项功能复合的DR,具有多功能数字化透视摄影系统,同时具备数字化摄影、数字化透视、数字化胃肠、数字化造影等功能。它满足各类临床应用,全面兼顾骨关节、呼吸、消化及生殖泌尿临床检查,以及透视下定位、透视下穿刺等介入放射影像成像等检查。
动态DR解决了以往传统DR的静态盲拍模式,可以对特殊病灶部位进行高速实时点片,捕获高清病灶图,降低了漏诊误诊率。特别是对不能配合的患者,也能进行快速高效的检查,大大减轻了患者的痛苦。

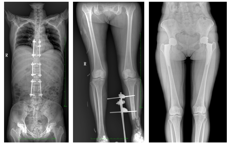
普爱医疗自主研发,专为大视野临床应用打造的平板动态DR——PLX8600,图像不拼接,有效简化影像科室检查流程,提高诊断精度,降低患者吸收的辐射剂量。与市面常规多张摄影再软件拼接DR相比,PLX8600解决了拼接图像存在密度不均匀,拼接处图像配准和放大效应等问题,辐射剂量是常规长骨软件拼接DR的1/2或1/3,给患者更多关爱。
PLX8600大视野平板动态DR功能特点:
一、成像面积大。17"*34"有效视野,一次成像不拼接。相较于多张摄影再软件拼接的DR设备,PLX8600解决了拼接图像存在密度不均匀,拼接处图像配准和放大效应等问题,给临床带来了大视野影像解决方案,可一次性覆盖全脊柱或双下肢影像。
PLX8600大视野平板动态DR摄影速度快,患者可以更快地完成检查,且单次摄影辐射剂量是常规多张摄影再软件拼接DR的1/2或1/3,低剂量给患者更多关爱。
二、消除盲拍。除常规静态摄影外,PLX8600大视野平板动态DR具备动态透视和点片功能,透视采集功能可支持大视野、多角度的可视化观察。通过可视化的动态影像,配合点片功能,能够很好的观察复杂部位病灶,有效的抓取关键帧,降低患者多次摄片的概率,安全又高效。
如:全脊柱状态评估、长骨关节活动度、下肢静脉造影瓣膜功能评估、消化道功能评估、脊髓造影等更多大视野临床应用,多面手给医生更多惊喜。

PLX8600大视野平板动态DR可在低辐射剂量下获得患者站立位、卧位的高质量影像。搭载自主研发的图像均衡处理系统,能够很好的均衡人体不同厚度组织的影像,视野大,图像清晰,层次丰富。如果您想采购这款产品,欢迎联系我们,咨询电话400-025-6366。


