肿瘤微创介入治疗技术,是一种新兴的肿瘤治疗方式,也是国内外肿瘤治疗的新趋势。在传统的肿瘤治疗中,外科手术占主导地位,大部分作为肿瘤早期和中期治疗的选择。随着医学影像引导微创介入技术的应用,肿瘤微创切除和根治治疗的选择适应症越来越广,大部分肿瘤都可以采用微创介入方法进行治疗。平板介入中C的引进,对微创介入手术的开展意义非常重大。
微创介入 造福患者
邵阳珂信肿瘤医院是由湖南省卫生健康委员会批复成立的二级肿瘤专科医院,是湘南地区专家实力雄厚、设备高档、医疗服务质量过硬的肿瘤专科医院。医院设有肿瘤微创介入科,依托集团内丰富的专家资源,打造了一支训练有素的介入队伍,目前开展的微创介入手术有氩氦刀冷冻消融术、射频消融术、微波消融术、放射性粒子植入术、血管介入治疗术等。邵阳珂信肿瘤医院自2021年5月引进普爱医疗移动式平板介入中C以来,已开展肿瘤介入手术180多例,为越来越多的肿瘤患者带来了新的希望!
患者:男性,61岁,肺部肿瘤
患者因经常出现咳嗽、胸闷、气喘等症状入院检查,经CT检查所示左肺有占位,病理活检确诊为肺部肿瘤。
肺部CT诊断

支气管动脉栓塞+化疗灌注术
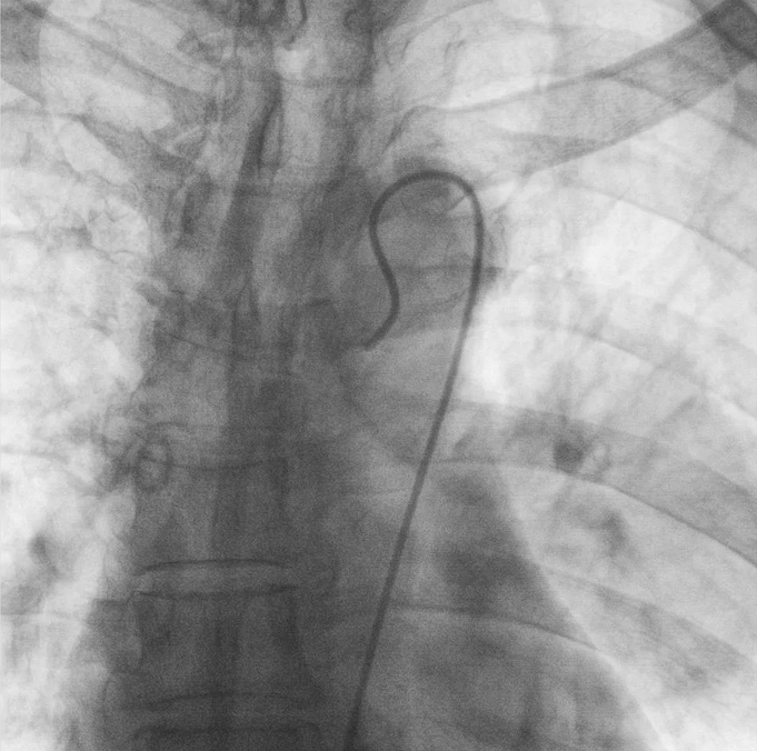
在普爱医疗移动式平板介入中C影像的引导下,医生为患者实施双侧支气管动脉栓塞+化疗灌注术。

在微导丝的配合下,先后分别超选择①至3支左侧支气管动脉肿瘤供血动脉,经微导管推注栓塞微粒球栓塞肿瘤动脉。栓塞结束后,再次用移动式平板介入中C做造影检查,见肿瘤染色消失。
术前术后对比影像
普爱医疗移动式平板介入中C
作为国内C形臂市场占有率连续十余年当先的民族品牌,普爱医疗推出的PLX7100A移动式平板介入中C,凭借体积小、剂量低、图像清晰、操作便捷等特点,在广大基层医院肿瘤介入科以及三甲医院专科介入获得了越来越多医院和专家的认可。
注①:超选择又称“微导管超选择”,属于准确的介入治疗手段。在对患者实施治疗时,利用微型导管选择到肿瘤的每一条供血动脉,一个肿瘤对应一条动脉,然后将药物准确灌注到肿瘤部位,以此提高肿瘤内部的药物浓度,确保肿瘤完全受药及肿瘤供血动脉准确栓塞。



