X射线成像技术在口腔医学领域发挥着非常重要的作用。随着X射线成像技术的发展,也逐渐从模拟技术到如今的数字化成像,这些成像技术包括牙片机、口腔全景机、数字化口腔CBCT等设备。那数字化口腔CBCT、牙片机、口腔全景机这三者之间有什么区别?
一、牙片机

牙片机通常由X射线发生装置及其支撑部件组成,配合口内影像接收器使用。用于对牙齿进行X射线摄影,获得影像供临床诊断用。比较简单,一般可以同时拍1到4颗牙齿的2D影像。广泛应用于牙体、牙髓和牙周病等口腔临床领域,但受限于较小的成像视野,牙片机无法获得牙齿全部的影像,一般不会被用于正畸或种植相关的诊疗。
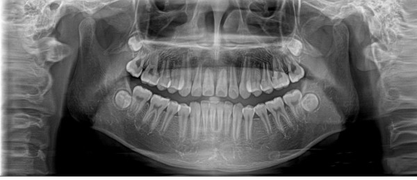
二、全景机

全景机基于体层摄影原理设计而成,全景摄影时,根据口腔颌面部的解剖特点,X线球管围绕人体头部选择约120°,从一侧颞下颌关节到另一侧颞下颌关节,最后一次性获得全口牙齿的2D图像,使颌骨及全口牙体层摄影在一幅图片上呈现左右展开的平面图。
全景机具有观察全面、操作简便、儿童及老弱患者容易接受的优点。然而,全景机的缺点也非常明显:
1.相较牙片机,全景成像中牙齿内部的清晰度和细节明显要略逊一筹;
2.由于是曲线体层成像,其图像有比较严重的畸变失真,同样也不可避免的具有影像重叠。
因此,全景机主要用于观察所有牙齿的形态、位置及颌骨内情况,为牙齿正畸矫正、牙齿修复提供图像依据,不太适合用于对牙齿结构成像清晰度要求非常高的领域。
三、数字化口腔CBCT

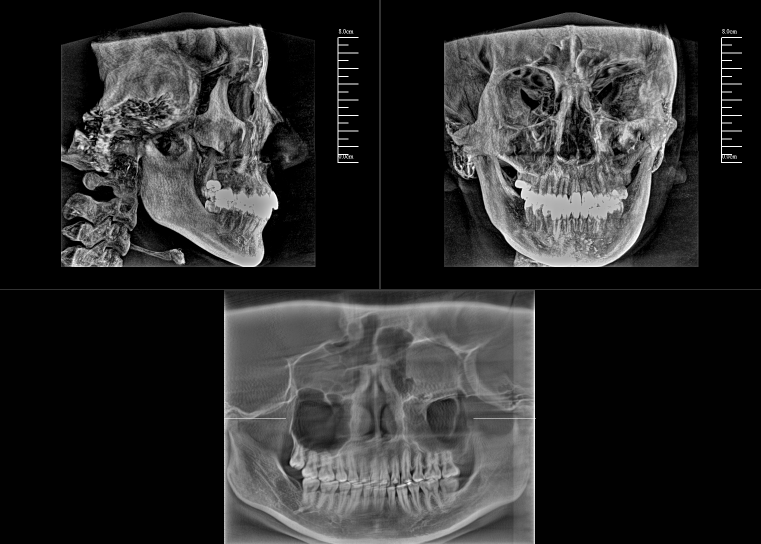
CBCT,全称“锥束计算机断层扫描(Cone-Beam Computed Tomography,CBCT)”,由球管和平板探测器组成。与全科CT的闭环圆孔设计不同,数字化口腔CBCT采用开放式结构以保持其灵活性。
对于口腔内科疾病,牙片和全景片已具有较高诊断效果;但对于牙体牙髓病,2D成像较容易发生影像重叠的情况,无法进一步明确根管和其他周围组织的三维信息,容易出现漏诊或误诊根裂的情况。这就需要三维断层成像,即数字化口腔CBCT。
数字化口腔CBCT是从三维的角度,即矢状位、冠状位和横断位来显示病变组织和正常组织结构,有效的避免了2D图像固有的缺陷,如正常组织器官的影像重叠,投射角度变化所致的影像扭曲、变形等,大大提高了诊断能力。
数字化口腔CBCT能在十几秒时间内完成患者口腔扫描,进而生成高精度的三维影像,彻底解决了牙片机、全景机等传统口腔X射线设备影像重叠、畸变的问题。可以360°全方位立体观测牙床的骨质密度、牙槽骨本身的高度、宽度等数据,不仅能重建整个颅面区的结构,对颌面骨质结构进行测量,而且还能重建精细的解剖细节。

随着数字化口腔CBCT的临床应用越来越广泛,其优势越发的突出,现在市场上销售CBCT的厂家也越来越多,竞争激烈,如何能挑选出一款合适的产品,除了关注产品本身的优势特点,其品牌、价格和售后服务也同样重要。普爱医疗作为口腔CBCT的生产厂家,在专业的影像领域已深耕多年,其推出的一款数字化口腔CBCT设备——PLX3000A,在投入市场之后,用户反馈良好,如果您对该产品感兴趣的话,可咨询:400-025-6366。


