为什么用动态DR?在常规X线检查中隐匿性肋骨骨折是难以及时发现的,需要经过一段时间或者用其他影像学方法才能发现,但这类骨折如果不能及时诊断,可能延误治疗,影响治疗效果,而且会给患者带来精神上和身体上的痛苦。动态DR大幅面透视图像,便于观察完整骨性胸廓、心、肺、膈肌在呼吸运动状态下的整体状态,有利于识别肋骨骨折部位和位置,以及骨折类型、有无合并症等,实施快速诊断,尤其适用于急诊患者的快速诊疗。
同时,动态DR空间分辨率高、图像清晰、诊断准确率高、有效避免因误诊和漏诊给患者带来精神上和身体上的痛苦,同时也避免了因此而产生的医疗纠纷。
综上所述,动态DR在肋骨骨折的诊断上具有静态DR不可比拟的应用优势。动态DR在胸片X线检查上,可以实现快速、准确诊断,减少常规静态DR在肋骨骨折中的漏诊、误诊,提升临床诊断效率和影像科的影像质控水平。
普爱医疗是一家动态DR的生产厂家,今年新推出一款全新的大视野平板动态DR产品PLX8600,它都具备哪些优势呢?我们一起来了解一下。

PLX8600大视野平板动态DR优势特点:
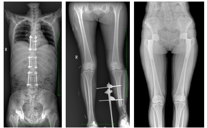
一、成像面积大。17"*34"有效视野,一次成像不拼接。相较于多张摄影再软件拼接的DR设备,大视野平板动态DR解决了拼接图像存在密度不均匀,拼接处图像配准和放大效应等问题,给临床带来了大视野影像解决方案,可一次性覆盖全脊柱或双下肢影像。
二、摄影速度快?;颊呖梢愿斓赝瓿杉觳?,且单次摄影辐射剂量是常规多张摄影再软件拼接DR的1/2或1/3,低剂量给患者更多关爱。
二、消除盲拍。除常规静态摄影外,大视野平板动态DR具备动态透视和点片功能,透视采集功能可支持大视野、多角度的可视化观察。通过可视化的动态影像,配合点片功能,能够很好的观察复杂部位病灶,有效的抓取关键帧,降低患者多次摄片的概率,安全又高效。
如:全脊柱状态评估、长骨关节活动度、下肢静脉造影瓣膜功能评估、消化道功能评估、脊髓造影等更多大视野临床应用,多面手给医生更多惊喜。

PLX8600大视野平板动态DR可在低辐射剂量下获得患者站立位、卧位的高质量影像。搭载自主研发的图像均衡处理系统,能够很好的均衡人体不同厚度组织的影像,视野大,图像清晰,层次丰富。
在医疗机构能力建设的战略大背景下,具备多功能诊断价值的大视野平板动态DR可以满足医疗机构高标准的临床需求,助力医疗机构的能力建设,并更好的为患者服务,同时可以大大提高医护人员的工作效率,助力诊疗。如果您对普爱医疗PLX8600大视野平板动态DR产品感兴趣的话,可咨询:400-025-6366。



