C形臂在外科临床手术中发挥着重要的作用,被誉为“外科手术的眼睛”,为骨科内固定手术、关节置换手术、胸腰椎压缩性骨折椎体成形术等手术提供准确的术前定位、术中透视观察、术后恢复查看等功能。
常规的C形臂由主机和工作站台车构成,二者之间的信号传输是通过信号电缆来进行的,在实际使用中移动起来比较费力,同时二者之间的通讯距离受到电缆线长度的限制,临床使用中也存在诸多不便。
为了解决现有的分体式C形臂通讯距离受限、移动不便的技术问题,目前一些领头地位的数字医学影像设备厂商采用了集成技术,将传统C形臂的主机与工作站台车合二为一,推出了一体式C形臂。
与此同时,也有一些人提出了相关问题“一体式C形臂好不好?”、“C形臂到底是选择一体式好,还是分体式好?”。其实,无论是分体式还是一体式都有着各自的优势,选择适合自己的才是最好的。

一体式C形臂应用优势:
1.一体化机架设计,让设备的占地面积仅约一平方米,可以适应各种拥挤复杂的手术环境,节约手术空间;
2.设备的移动更加灵活轻便,一人即可轻松推行机器转场,配合断电待机功能,一台设备即可满足多间手术室使用;
3.没有了工作站的束缚,避免了手术室里杂乱的线缆带来的安全隐患和昂贵的维护费用。
4.一体机结构属于高端机型,目前国内乃至国际市场,生产厂家也是屈指可数,提高医院影响力和知名度。

分体式C形臂应用优势:
1.分体式结构设计便于设备隔室操控,既可以满足临床的应用需求,也适用于教学研究等场景,避免用户近台操作时吸收不必要的辐射。
2.工作站配备医用显示屏和曝光脚闸,设备同时配备医用显示器和手持控制器,室内室外都可操控设备,避免医生频繁出入曝光室调整设备,提高工作效率。
相信不少经销商和医院会在一体式和分体式之间纠结,想买一体式,可又担心一体式的性能不如分体式;而想买分体式,又觉得分体式不如一体式省事省空间好打理。那么,一体式C形臂临床影像效果到底如何呢?
病例一:
患者不慎摔伤,伤后腰部疼痛,腰2椎体压缩性骨折,遂以“椎弓根钉内固定术”治疗。椎弓根螺钉可以从椎体后方贯穿到椎体前方,达到椎体三柱固定,但是手术过程中要保对多节锥体进行手术,所以要求图像要尽可能的展现出全节段腰椎。

一体式C形臂全节段腰椎临床影像
普爱医疗PLX119C大平板一体式C形臂采用30CM×30CM的平板探测器,一般可一次性成像5节腰椎,呈现更广阔的视野。使医生一次性全面地观察到伤椎及周围椎体情况,使得手术效率更高、更准确。
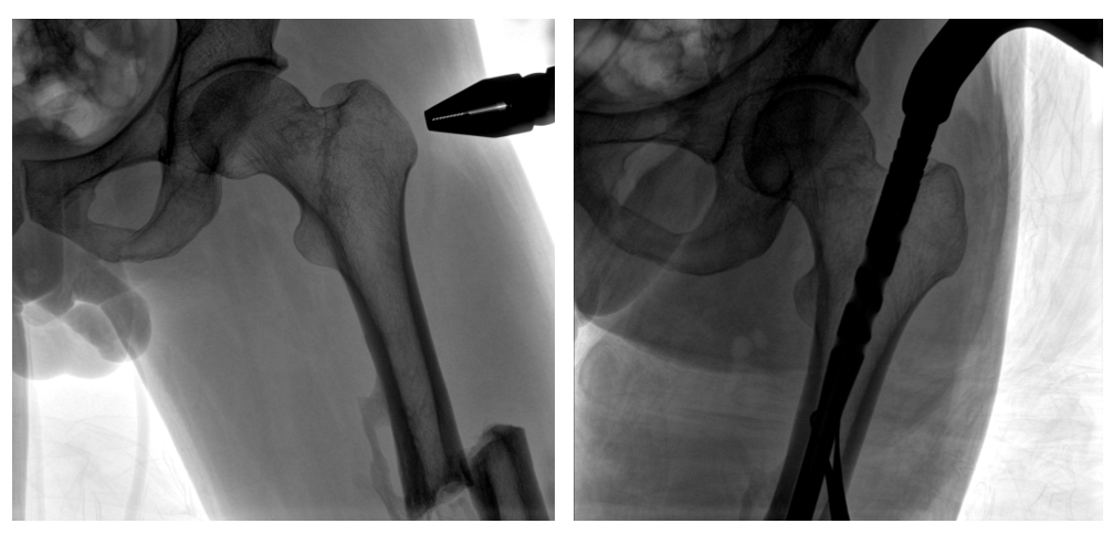
病例二:
患者左股骨干完全骨折,经过医生评估,使用“髓内钉内固定术”进行治疗。髓内钉内固定术需要将入钉点至骨折部位的影像完全展示,在一些长骨的骨折中,对视野范围要求高。

一体式C形臂钉点至骨折部位的临床影像
在进行髓内钉内固定术时,医生需要同时观察到入钉点和骨折部位的情况,PLX119C大平板一体式C形臂能够呈现更广阔的成像面积,满足大部分长骨髓内钉内固定术的摄片需求。
总之,大平板一体式C形臂在脊柱和长骨骨折等骨科手术治疗中,获取更大视野、更清晰的骨折部位图像,能够有助于医生在术中及时了解和评估骨折部位的对位、对线情况,且能进行长度和角度测量,为进一步提高手术质量提供强有力的支持。


