近年来,微创诊疗技术的发展以及骨科手术量的增加,C形臂采购需求量与日俱增,从以往一家医院仅配置一台C形臂设备,逐渐发展成今天的一个手术室配置一台或多台C形臂。随着医院与手术室中的设备量逐渐增加,手术室空间日渐拥挤,因此对占地面积小、紧凑型的移动式一体化C形臂需求也越来越大。
移动式一体化C形臂是一款什么样的C形臂?
常规的C形臂由主机和工作站台车构成,二者之间的信号传输是通过信号电缆来进行的,而移动式一体化C形臂采用了集成技术,将传统C形臂的主机与工作站台车合二为一。一体式设计的C形臂机架结构更加紧凑,占地面积小,仅约为一平方米,有效的节约了手术室空间。

移动式一体化C形臂优势有哪些?
1.占用空间小,设备的占地面积约一平方米,可以适应各种拥挤复杂的手术环境,节约手术空间。
2.移动灵活轻便,推行更加自如,一人即可轻松转移设备,完成转场,无须多人协助。
3.具备断电待机功能,切断电源后设备不会关机,而是进入待机状态,待机状态下通电后可立即恢复正常使用,无需重新开关机,节约时间,配合一体式结构方便移动的特点,可实现设备在多个手术室间快速共享,提高设备的使用率。
4.配备大尺寸显示器和触控屏,医生在设备旁即可完成曝光操作并观察影像,便于医生进行近台操作。
5.无需通过线缆和工作台车进行连接,不仅减少了因为线缆损坏带来的维修费用和不便,也避免了医生手术过程中因为踩踏线缆带来的安全隐患。


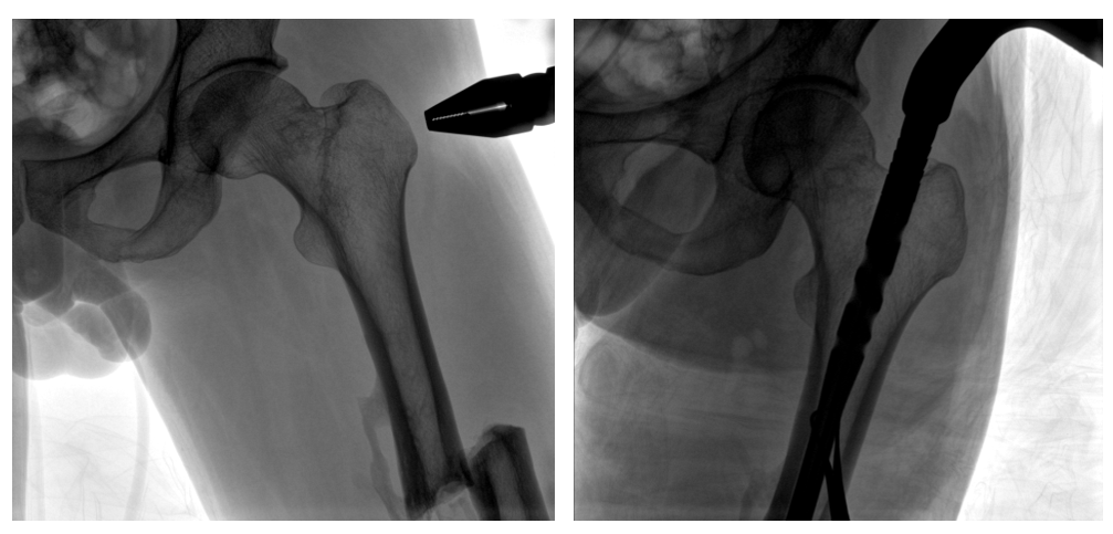
普爱医疗PLX119C大平板一体式C形臂采用30CM×30CM的平板探测器,在脊柱和长骨骨折等骨科手术治疗中,获取更大视野、更清晰的骨折部位图像,能够有助于医生在术中及时了解和评估骨折部位的对位、对线情况,且能进行长度和角度测量,为进一步提高手术质量提供强有力的支持。
近年来国内移动式一体化C形臂行业迅速发展,竞争能力不断提高,市场占有率也在持续上升。普爱医疗在C形臂领域深耕多年,拥有多项相关发明专利和成熟的技术,目前在售的产品种类较多,如果您对我公司PLX119C大平板一体式C形臂感兴趣的话,欢迎来电咨询我们。



