顽固性排尿困难,一直是横在泌尿外科医生及患者面前的一座大山。有些患者表现为尿频尿急,甚至急迫性尿失禁,有些患者则表现为排尿不顺畅,无法自主控制排尿,严重影响生活质量。近日,南医大二附院卫中庆主任带领其团队在普爱医疗大平板一体式移动C形臂影像的引导下,为一位59岁的患者实施骶神经调控手术,成功的改善了患者多年来尿频尿急的症状。
病例名称:骶神经调控术
手术单位:南京医科大学第二附属医院
患者年龄:59岁
患者性别:男
该患者两年前被诊断患有膀胱过度活动症(OAB),出现严重尿频、尿急、尿细线等症状,医生为其做了骶神经调控手术。近期,患者症状又开始加重,生活质量受到影响,为减轻症状,改善生活,患者前往南医大二附院就诊。卫中庆主任及其团队在查看患者病情后,决定重新调整电极刺激位置,将刺激点由原左侧骶4神经孔改为骶3神经孔,通过新的神经调节顺利地改善了症状。
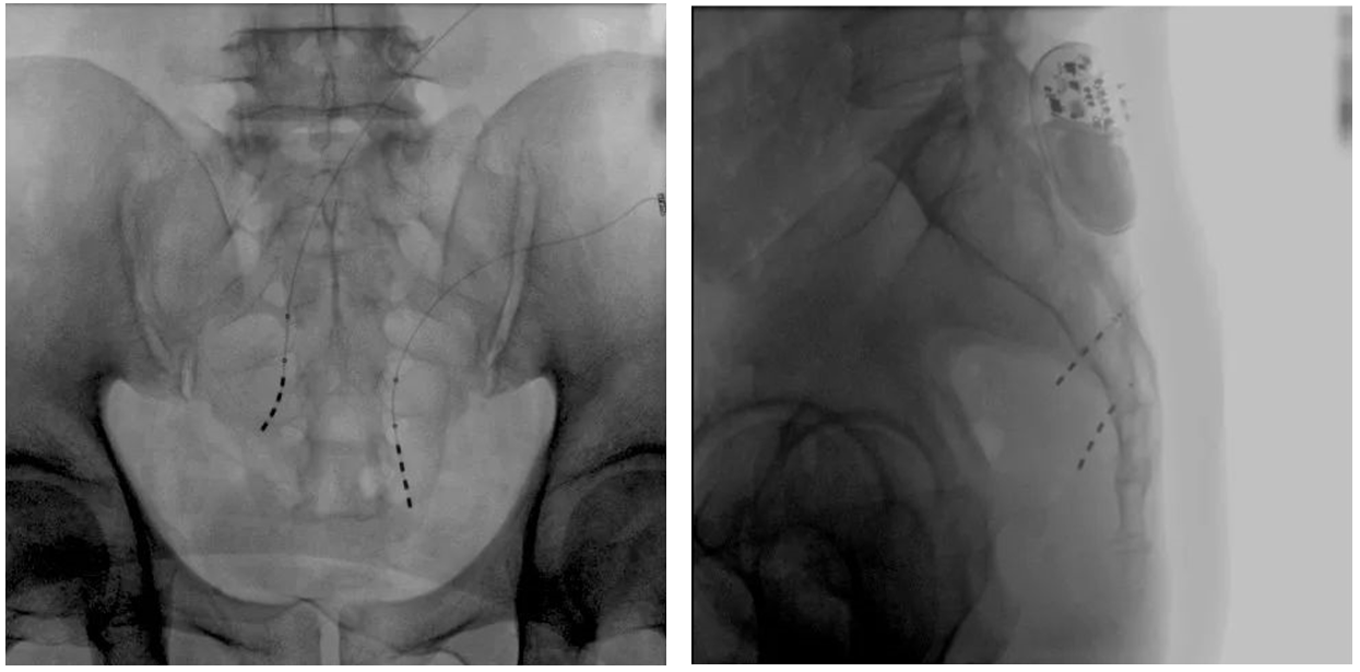
患者术前影像
大平板一体式移动C形臂术中影像
膀胱过度活动症(OAB)
膀胱过度活动症(OAB)指排尿时,由于膀胱逼尿肌(DO)不自主收缩所造成的一系列泌尿异常的症状。国际尿控协会(ICS)对OAB的定义为:尿急,通常伴有白天尿频增加和/或夜尿,在没有尿路感染或其他可检测疾病的情况下,伴有尿失禁(湿尿)或无尿失禁(干尿)。
对于OAB的治疗根据病因和程度不同,可以采用行为修正,比如减少咖啡因摄入、增加盆底肌训练;可以是药物治疗,比如服用包括米拉贝隆在内的抗毒蕈碱药类等。对于重度OAB也可以采用神经调控技术进行治疗,比如经皮胫神经刺激(PTNS)或者骶神经调控(SNM)。
关于骶神经调控(SNM)
在骶神经调控术或者骶神经刺激术(SNS)中,医师首先会在透视引导下把电极通过导针插入到骶3神经孔位置,通过脉冲电流的刺激,达到兴奋神经纤维并抑制逼尿肌收缩。在这一步,医师会先对患者的神经刺激反应做测试评估,如果刺激效果明显,说明该方案能够达到手术预期。接下来医师会在附近皮下脂肪处植入一块脉冲电流发生器并与电极相连,使该部位今后能得到长期的电刺激,改善OAB症状。
SNM技术是一种微创治疗方式,手术时间短,患者只需接受局部麻醉。该技术目前已在超过40项研究中被证实有效。绝大部分研究表明,运用SNM可以成功改善至少50%的OAB症状。
普爱医疗大平板一体式移动C形臂

在SNM中的应用优势
? 传统9英寸的平板探测器或影像增强器C形臂,成像范围较小,在进行导丝定位观察时,受手术床的限制无法呈现大视野的透视图像,需要进行多次的拍摄,降低手术的效率。而普爱医疗大平板一体式移动C形臂装备一块30cm x 30cm大平板探测器,超大的成像区域弥补了因摆位不便造成的拍摄困难。
? 相较于影增C形臂,平板探测器成像的畸变更少,能够准确体现电极和骶孔位置关系,提高手术效果预期。
*本文仅供学术交流,具体病例请到专业医疗机构就诊

普爱大平板一体式移动C形臂投入使用,将为骨科、疼痛科、神经外科、泌尿外科、介入血管外科、肝胆外科等专业领域手术提供可靠的影像保障,为更多手术患者保驾护航。



