随着医学的不断发展,影像已经成为检查手段之一,从最初的数字化X光摄影产品,发展到直接的数字化X光摄影产品(静态DR),再到当下成为医疗机构主流选择的动态数字化X线摄影(动态DR)。
	
近年来,脊柱及下肢畸形的患者较多,多发于青少年的脊柱侧弯畸形,骨性关节炎、风湿性关节炎以及双下肢畸形如膝关节内外翻、X型O型腿等也是骨科常见病。并且发病率呈现逐年升高的趋势,常常累及下肢髋、膝、踝3个负重关节,影响患者生活,甚至丧失工作能力。
在脊柱及下肢畸形的临床治疗过程中,一般需要进行矫正手术治疗,在对其进行手术前后,均需要拍摄X光片以便分析病情、明确诊断和观察治疗效果。常规DR拍摄面积有限,最大规格仅有43cm,但成人男性全脊柱长度平均为70-75cm,女性为66-70cm,而双下肢更长。普爱医疗PLX8600动态DR的43cm*86cm超大有效视野,可一次性拍摄全脊柱、双下肢的影像视野。
常规DR摄片技术不能一次性拍摄出完整的全脊柱或双下肢的X光影像。全脊柱的拍摄需要分别拍摄颈椎、胸椎、腰椎的X光片,虽然能够观察到局部的侧弯情况,但不能观察到三者之间的连续性,这就增加了这类疾病的诊治难度。
普爱医疗动态数字化X线摄影(动态DR)拥有43cm*86cm超大有效视野,使全脊柱及双下肢能够得到完整清晰的成像,为临床在脊柱侧弯畸形和下肢骨关节病变诊断、治疗方案制定及治疗后复查提供精准的测量。
	
全脊柱临床影像
普爱医疗动态数字化X线摄影(动态DR)可以使整个脊柱一次成像,直观显示脊柱的整体形态以及侧弯部位,评价侧弯的病理程度,全面了解脊柱各个阶段的生理曲度及椎间关节连接的关系,避免了常规脊柱摄影对整个脊柱曲度的影响。为脊柱侧弯的诊断治疗提供了重要的影像学依据。
	
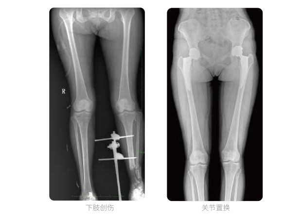
双下肢临床影像
普爱医疗动态数字化X线摄影(动态DR)可以整体显示双髋至双踝关节,直观的展示因关节软骨磨损和软组织不平衡所造成的畸形及力线异常,全面对比了解双下肢的病变情况。对于下肢矫正和人工关节置换术的术前计划,术后观察有着重要的临床意义。
普爱医疗动态数字化X线摄影(动态DR)一次成像不拼接,解决了拼接图像存在密度不均匀,拼接处图像配准和放大效应等问题,给临床带来了真正的大视野影像解决方案,高清画质,准确成像不失真,辅助医生准确诊断疾病。

 
                        
