医院用什么设备拍片?医院放射科检查通常包括三类:DR(数字化拍片机器,也就是俗称的“X光”)、CT(电子计算机体层扫描)、MRI(磁共振成像)。对一般人来说,统称就是“拍片子”,三者具体有什么区别呢?
DR检查
DR检查也就是俗称的拍X光。DR是在普通X光拍片的基础上,发展成为数字化X线拍片,通俗一点来理解,就是传统X光的进阶版,但本质还是差不多的,主要还是利用X射线的穿透性原理。虽然检查部位和普通X光拍片都一样,但DR的图像分辨率明显比X光高,放射线辐射剂量也降低了非常多。
	DR常用于人体胸部及骨骼摄片,也可拍摄其他部位,例如腹部、牙齿、头颅等。使用人群较广,可以进行全身各部位检查,曝光后几秒就可获得数字影像,成像速度快,且价格便宜,极大提高了工作效率,方便临床重症、急症患者的诊治。
 
	
 
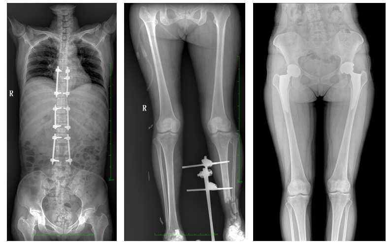
站立位X线影像是测定人体负重骨骼的生物学力线、对称结构平滑线及脊柱侧凸角等首选的检查内容,这和CT、MRI卧位成像,在临床意义上有着根本区别。在脊柱及下肢的临床治疗过程中,一般需要进行矫正和关节置换手术治疗,在对其进行手术前后,均需要拍摄站立位负重X光片以便分析病情,明确诊断和观察治疗效果。
常规DR拍摄面积有限,最大规格仅有43cm,但成人男性全脊柱长度平均为70-75cm,女性为66-70cm,而双下肢更长。普爱医疗PLX8600动态DR的43cm*86cm超大有效视野,可一次成像全脊柱及双下肢。
CT检查
CT检查原理是X光分层穿过人体,这就像把面包切成薄片,每一片都可以摊开看。当遇到外伤怀疑伤到骨头,可以选择CT观察隐匿损伤或软组织损伤。
CT适用于头部、胸部、腹部、盆腔、脊柱、四肢、骨骼等处,由于它的特殊诊断价值,已经广泛应用于临床,特别是在肿瘤的诊断上更是具有很高的应用价值。但由于CT设备较为昂贵,检查费用也会偏高,对于某些部位的检查和诊断价值,尤其是定性诊断,还有一定限度,所以在临床上并没有将CT检查视为常规诊断手段。此外,CT诊断辐射量大于DR,所以怀孕或备孕期女性不宜进行CT检查。
	 
 
MRI检查
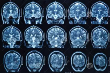
MRI也就是磁共振成像,属于断层成像的一种,它是利用磁共振现象从人体中获得电磁信号,并重建出人体信息。通过检查可获得横断面、矢状面、冠状面的影像,空间分辨率高,是神经系统、脊柱脊椎部分检测的第一选择。
无论是DR还是CT,由于对部分软组织的分辨率不足,所以软组织疾病的排查便成了它们的短板,而磁共振的长处恰恰就是清晰显示软组织疾病,对于膀胱、直肠、子宫及关节肌肉的检查优于CT。MRI适用于神经系统病变、心血管系统、胸部病变、全身软组织病变等。
	 
 
拍片会有辐射吗?
一直以来,都有患者因为担心辐射而拒绝做影像检查。事实上,辐射无处不在,比如说强烈紫外线的辐射、电脑、手机的辐射等等,这些都是每天都要面对的,它们并不会对人体造成伤害。
辐射剂量常用的单位是毫西弗(mSv),我国规定每位放射科医生每年接触到的辐射剂量不得超过20毫西弗,在这个范围内相对安全。很显然,接受检查的人不会承担比医生更大的风险。而从医学上来说,一般只有遭受100mSv以上的辐射量,人体患癌的概率才会明显增加。我们平时接触到的检查手段,辐射剂量与这个值差距是很大的,比如我们常说的拍片子,也就是X光检查,它的辐射剂量对人体来说非常低,只有0.1毫西弗,相当于人类在地球上生活10天所受到的自然辐射。这样的数据对比,你是不是也觉得辐射远没有想象的那么可怕?
X光检查、CT检查的辐射量也都在安全范围内。因此,在接受检查时,辐射的剂量并不会对患者的身体造成危害,更不必因为存在辐射选择不做检查,忽视了健康。

 
                        
