数字X射线成像(DR)是目前主流的X光检查方法,它具有成像快捷、存储方便、便于图像后处理等诸多优势,已经逐渐取代传统X光机。但是在实际应用中,DR的图像质量还存在着一些问题,比如图像对比度不强、图像不清晰、噪声过明显、图像亮度不对称等。一旦DR设备的图像质量差,可能会造成漏诊、误诊,或者因剂量不当对检查者机体造成损伤,因此保证DR图像质量应当是重中之重。
	 
 
到底是哪些因素会影响DR图像质量呢?普爱医疗归纳了以下几大因素。
DQE
DR中各种探测器的图像质量是用分辨率和DQE(量子捕获效率)来衡量的,DQE又是其主要的衡量标准,它表征着成像系统的剂量效率。综合了系统对比度、图像分辨率和噪声的影响等诸多因素,并衡量输入X射线的噪声/信号到图像的转换性能。
DQE表示数字X线成像设备在把射线影像转换成数字影像图像信噪比所保留的比率。在X线影像领域,射线影像的噪声是与曝光剂量密切相关的,DQE值同样也表达了数字影像设备对入射剂量的利用效率。而曝光剂量又与相接触的人员健康有着联系,所以DQE值是检测数字医用X射线诊断设备重要的技术指标。只有合理的选择DQE指标,才能获得想要的图像质量,使DR技术的应用更具有优势。
像素尺寸
数字图像由像素组成,像素由矩阵的形式排列成排或列。每一个像素都有它自己的灰阶,从而形成图像中我们可辨的不同的阴影。数字图像的每一个像素的大小决定了图像的空间分辨率,即我们可以在图像中发现的最小物体。
总体来说,像素越多图像分辨率越好,但不代表图像质量越好,对于我们的成像系统,当像素高到超过某一点时,图像质量反而不优,主要是由于像素越多,我们使用的感光元件越多,同样大小的平板会使得感光元件越小,每个感光元件接收到的光电子信息就越少,所以不能形成很好的图像??銮沂褂玫母泄庠蕉?,成本越高。而且硬件及投照条件都会影响图像,所以不要一味的追求极高的像素。
	
	 
 
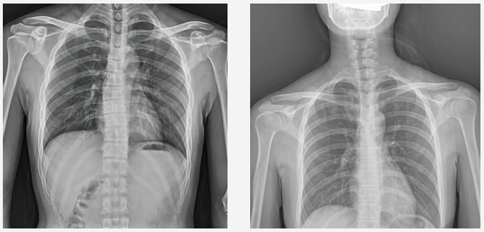
普爱动态DR临床图像
	
信噪比
数字图像的信噪比,即图像信号与噪声的比例。一般来说,信噪比越大,图像噪点越小,图像质量越好即越清晰;相反,信噪比越小,图像噪点越大,图像质量越差,看起来越粗糙。但信噪比可通过改变投照条件来进行调节,增加投照条件(增加千伏或毫安秒)都会使信噪比增加,但如果投照条件越小,图像信噪比就会越小,图像噪声越高,即看起来颗粒感大、较粗糙。
图像后处理
DR系统具有强大的影像后处理功能,诊断医生可以根据患者病症的具体情况,调整图像的对比度等参数,再通过一系列影像后处理技术(如图像自动处理技术,边缘增强清晰技术、放大漫游、兴趣区窗宽窗位调节以及距离、面积、密度测量等丰富的功能),从中提取丰富可靠的临床诊断信息,对疾病的诊断,特别是早期病灶的发现提供可靠的诊断依据。
	 
 
DR图像质量对比图
当前国产DR都尤其重视图像后处理系统的升级,如普爱医疗研发生产的多功能动态DR(型号:PLX8100),应用了公司自主研发的组织均衡技术,它是基于低灰度区扩展到高灰度区间的多层分级细节均衡算法。对于人体图像,通过组织均衡后,图像细节突出明显,肺纹理末端细小血管及骨骼的纹理、肌肉层次等均可清晰显示。
除此之外,会影响DR图像质量的还有人为操作、机房环境、DR设备自身问题等因素。

 
                        
