泡良家论坛,广州伊甸园交友论坛,小红楼免费信息论坛,一线天论坛登录入口

普爱c臂

医疗动态

News

当前位置:首页>医疗动态
【医疗科普】三维影像:看透关节内骨折的“眼睛”

【医疗科普】三维影像:看透关节内骨折的“眼睛”

大家好,我是南京医科大学第二附属医院骨科副主任医师王伯尧,今天为大家介绍什么是看透关节内骨折的“眼睛”。接下来跟普爱医疗科普小编一起来了解下吧!...

发布时间:2022-05-25 14:18:04

移动DR机日常维护要注意哪些事项呢?看这三点

移动DR机日常维护要注意哪些事项呢?看这三点

移动DR机作为床旁X射线机,方便的解决了因患者不方便移动至放射科机房但需要进行拍片的问题,经常在ICU、新生儿科、住院楼等地方使用。移动DR在日常使用过程中是极易发生各类故障的,因此对DR设备的日常维护是十分重要且必要的...

发布时间:2022-05-24 13:33:33

普爱医疗&大博医疗丨骨盆髋臼系列微课堂开讲啦!

普爱医疗&大博医疗丨骨盆髋臼系列微课堂开讲啦!

5月26日19:30普爱医疗联合大博医疗开展的《呼“盆”唤友 “臼”事新说》骨盆髋臼系列精品课即将开讲!关注微信公众号“骨科医生好帮手”回复“0526”即可观看专家直播教学哦!...

发布时间:2022-05-20 15:08:11

【招商资讯】2022普爱医疗线上招商会主推产品——移动DR

【招商资讯】2022普爱医疗线上招商会主推产品——移动DR

2022年5月13日,以“预见 视界”为主题的 “2022普爱医疗线上招商会”通过网络形式召开。会议对普爱医疗的品牌实力、产品技术、销售团队、售后服务做了全面的阐述及展望,并对医学影像产业进行了市场分析及前景预测,帮助意...

发布时间:2022-05-20 09:35:21

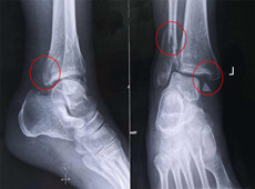
【医疗科普】踝关节骨折的主要类型及其影像学表现

【医疗科普】踝关节骨折的主要类型及其影像学表现

大家好,我是南京医科大学第二附属医院骨科副主任医师王伯尧,从事骨科临床工作十余年,拥有丰富的骨科临床经验,主要研究方向为骨科手术机器人的开发与临床应用,今天跟大家介绍踝关节骨折的几种常见类型及其在X影像上的表现。接下来跟...

发布时间:2022-05-19 16:58:39

2022普爱医疗线上合作研讨会产品盘点之——平板三维C形臂

2022普爱医疗线上合作研讨会产品盘点之——平板三维C形臂

为了顺应疫情防控政策,普爱医疗于5月13日举办了线上合作研讨会,会议的主要亮点包括公司宣传、产品推介、合作交流、客户服务等等,当然,最受大家关注的就是产品推介环节啦!本次线上研讨会,普爱医疗隆重推出几款明星产品:平板三维...

发布时间:2022-05-19 10:01:08

【普爱医疗】线上招商会重磅产品:一体式移动平板C形臂

【普爱医疗】线上招商会重磅产品:一体式移动平板C形臂

医疗器械行业更迭,瞬息万象,如何力破重围,制胜未来?普爱医疗着力打造“终端+经销商+营销+售后服务”矩阵,实现共生共赢!...

发布时间:2022-05-18 09:06:41

预见 视界|普爱医疗线上合作研讨会圆满收官

预见 视界|普爱医疗线上合作研讨会圆满收官

当前,数字化浪潮方兴未艾,信息化、网络化、数字化交织演进,万物互联正在影响着人们的日常生活,数字经济也正在加速进入细分场景应用化的新时代。借助本年度新产品的陆续出新,国家政策引发的行业大转型等契机,普爱医疗举行普爱医疗线...

发布时间:2022-05-17 13:45:37

【重要通知】2022普爱线上医疗器械招商会增设分会场

【重要通知】2022普爱线上医疗器械招商会增设分会场

医疗器械行业更迭,瞬息万象,如何力破重围,制胜未来?普爱医疗着力打造“终端+经销商+营销+售后服务”矩阵,实现共生共赢!“预见 视界”——2022普爱医疗器械招商会,于2022年5月13日15:00通过网络形式召开。...

发布时间:2022-05-13 09:21:29

今日开播|2022普爱医疗线上合作研讨会将增设分会场

今日开播|2022普爱医疗线上合作研讨会将增设分会场

很多关注普爱医疗的朋友们都知道,普爱医疗将在5月13日15:00-15:40,举办以“预见 视界”为主题的2022年普爱医疗线上合作研讨会,研讨会主题包括公司宣传、产品推介、合作交流、客户服务等。目前,线上合作研讨会报名...

发布时间:2022-05-13 08:39:36

首页
产品
新闻资讯
关于普爱
客服电话