【技术特点】
一、新一代动态平板探测器,一机多用实现动静态采集
只需一块动态平板探测器,即可高效轻松实现摄影、透视和造影功能,几乎可以满足医院全科室的临床检查需求。
	 
 
1)大视野无遗漏
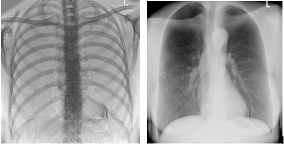
17*17英寸的高清像素动态平板探测器,能对胸部、腹部等部位实现大范围全覆盖,动静态之间无感切换。透视检查无须对患者重新定位便可观察到足够大的人体器官组织,避免漏诊误诊。更好地减少了曝光时间,也减少了病人的辐射剂量。
大尺寸动态平板技术,覆盖检查面积范围广,轻松实现胃十二指肠等大面积造影,无需移动即可观看整个动态过程,避免噪点对图像的影响。
2)图像质量无畸变,无失真
高效动态平板技术,图像不会有几何畸变,提供高分辨率和精确的图像,为临床诊断提供精准依据。
	 
 
3)高帧速
最高帧速可达30帧/秒,获得与静态采集相媲美的高清流畅影像;
采用先进的脉冲透视技术,呈现更优图像空间分辨率、低对比度分辨率、灰阶范围,为精准诊断提供可靠依据。
4)透视+高清点片
在可视过程或回放过程中,如发现疑似病灶,可进行毫秒级高清点片,随时抓取单帧图像,精准捕抓病灶,便于医生进一步诊断分析,减少误诊,并有助于快速编制报告。
	 
 
二、配置2块可插拔高密滤线栅、专距专用
按照1米和1.8米两个标准体位配备两块高密滤线栅,过滤掉更多的散射线,专距专用,使图像效果更好。
针对低剂量部位检查时,可以移除滤线栅,更有效呵护医患健康。
三、独特的球管立柱可倾斜摆动,实现倾斜摄影
球管立柱可倾斜摆动,满足临床特殊部位摄影需求,如:髌骨轴位、骶尾椎等部位检查。
	 
 
四、DAP辐射剂量监控系统,呵护医患健康
DAP是辐射剂量学中应用最广、最重要的辐射测量传感器之一,常作为X射线机质量控制指标。
欧美国家对于DAP功能都是作为数字化产品的标配,动态平板DRF厂家普利德以国际一流标准作为标杆,主动为国产胃肠机DRF品牌增加DAP功能,直观展示和监控剂量数据,带给医生和患者更多的?;ぁ?

 
                         
 






